急性透析性脑病,常于透析中或透析后出现精神、神经症状,可出现肢体麻木和(或)无力、语言障碍、癫痫发作、意识障碍等表现。该病头颅MRI影像表现资料缺乏,有资料显示患者头颅MRI并无明显异常。本例患者为典型的透析失衡,头颅MRI有脑水肿表现,提示透析时或透析后出现精神异常、癫痫发作等注意及时行头颅MRI检查明确诊断。
临床资料
患者男性,30岁,因"双下肢水肿6年加重伴憋气7d"于2014年12月26日入院。患者于入院前6年出现双下肢水肿,尿量减少、尿泡沫增多。于黄骅市医院验血结果示"肌酐250μmol/L",诊为"肾病综合征",予中草药等治疗,具体不详,双下肢及颜面水肿间断出现。7d前无明显诱因患者病情加重伴憋气,咳嗽、咯白痰,夜间不能平卧,尿量少,24h尿量为300~500ml,无发热、咯血、胸痛,恶心、呕吐,饮食差。
体检:血压160/100mmHg(1mmHg=0.133kPa),双侧眼睑水肿。双肺下部闻及小水泡音。心率70次/min,律齐,未闻及心脏杂音,心音大致正常。腹部平坦,无压痛、反跳痛,肝脾肋下未及。双下肢指凹性水肿。生化检查示:血肌酐1266.8μmol/L、尿素氮52mmol/L。
诊断为慢性肾衰尿毒症期,于2014年12月26日14:00时进行血液透析治疗2h、脱水3500ml,19:00时(透析后3h)患者出现构音不清、四肢乏力,呈持续性,无肢体麻木及抽搐,肾内科检查示患者四肢肌力大致正常、感觉正常、双侧巴宾斯基征未引出,急查头颅CT未见异常,考虑透析失衡可能。2014年12月27日17:00时血液透析时患者仍有轻度构音不清,并于透析过程中出现双眼上窜、意识模糊,肾内科考虑透析失衡急停透析治疗,并输注生理盐水100ml及肌肉注射地西泮10mg治疗,患者双眼上窜于用药10min后好转,但意识模糊有所加重,患者停止透析、脱离透析机后,17:30时再次出现双眼上窜、四肢抽搐发作并出现浅昏迷,经脑病科会诊考虑为透析性脑病、脑干梗死待除外。

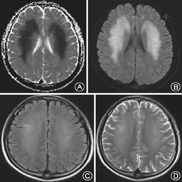
急转重症监护病房进行治疗,于2014年12月28日14:44时查头颅MRI(图1)显示急性脑水肿表现,DWI、T2、FLAIR显示额、颞、顶叶大片状高信号,表观弥散系数图像上病灶处信号减低,由头颅MRI表现明确诊断为透析性脑病,可除外脑干梗死。予呋塞米脱水及持续床旁血滤等治疗,2014年12月28日19:00时患者意识转为正常,四肢抽搐、双眼上窜发作未再反复,因患者经济条件差,未复查头颅MRI,患者定期于我院肾病科透析治疗,未再出现意识模糊、四肢抽搐、双眼上窜发作。
图1患者2014年12月28日影像学资料。A:表观扩散系数图像示两侧额、颞、顶叶脑白质区对称性大片状低信号;B:头颅DWI示病灶区成对称性大片状高信号区;C:FLAIR示两侧额、顶叶片状不均匀稍高信号;D:T2加权像示两侧额、顶叶片状不均匀稍高信号
讨论
透析性脑病是尿毒症患者在透析过程中或透析后出现的以神经系统损害为主要表现的综合征。临床主要分为两种:急性透析性脑病及透析性痴呆,有资料将透析后脑出血及脑梗死、Wernick脑病亦归入透析性脑病范畴。
急性透析性脑病又称失衡综合征,由于血液透析时血液内H+及代谢产物迅速被清除,但脑实质、脊髓中的尿素及其他物质受血脑屏障限制,浓度下降较慢,从而形成血浆与脑脊液间的渗透浓度差,水分则由血浆渗入脑脊液和脑细胞,造成脑脊液压力增高和脑水肿而导致脑病发生。
临床特点为:①多发生在首次透析3~4h后,以血液透析常见,腹膜透析发生率相对较低;②表现为头痛、呕吐,兴奋躁动,易激动或谵妄,癫痫发作,重者可出现意识障碍。急性透析性脑病在教材上没有被提及,许多基层医生或临床经验较少的神经科医生都不能正确认识该疾病,容易将其误诊为脑梗死或其他疾病。
本例患者第1次透析后3h出现构音不清,第2次透析时及停止透析脱离透析机后出现癫痫发作、意识障碍,符合急性透析性脑病诊断。经查阅资料,急性透析性脑病头颅MRI影像学表现资料匮乏,有资料显示该疾病影像学表现并无异常。本例患者头颅DWI示显著高信号,提示急性脑水肿,对于急性透析性脑病患者应及时行头颅MRI检查,以便提供确凿的影像学证据,减少误诊。由于急性透析性脑病的出现原因是脑水肿,随着水肿的消退,影像学的异常表现应恢复正常,该患者未能复查实为遗憾。
文章来源:中华神经科杂志,2016,49(04):322-323.
医生请关注
肾友请关注